
Ordinarily, patients that are post treatment for skin cancer will be held on surveillance for a period of time.
During the surveillance period appointments will be held with skin cancer nurses, dermatologist and also the all important CT scan. These scans are often a time of increased anxiety, or Scanxiety as its been referred to by patients. There are several trigger points that cause concern for those that are subject to the procedure:
- The appointment letter will arrive
- The scan day approaches
- The scan is done, and then
- The wait for the scan results
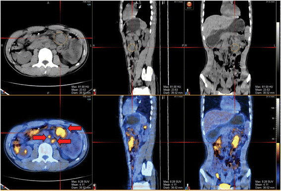
A CT scan has the benefit of being able to provide the clinical team with far more detail than an ordinary x-ray. The areas of concern will normally show up as masses that have appeared since the previous scan. The scans are indicative of a change in the body and the likelihood of a return of the cancer. However, a PET CT scan can provide yet more information and act as a positive confirmation.
A PET-CT scan (Positron Emission Tomography–Computed Tomography) is a powerful imaging test that combines two different technologies—a PET scan and a CT scan—into one procedure. Together, they provide both metabolic (how tissues are working) and anatomical (how tissues look) information about your body.
Here’s how it works step-by-step:
🧪 1. Injection of a radioactive tracer
Before the scan, you’re given an injection—usually in your arm—of a radioactive sugar called FDG (fluorodeoxyglucose). Cancer cells tend to use more glucose (sugar) than normal cells because they’re more active, so they absorb more of the FDG. The “radioactive” part of the tracer emits tiny signals called positrons, which the scanner can detect.
⏳ 2. Resting period
After the injection, you rest quietly for about 30–60 minutes while the tracer circulates and gets absorbed by your tissues. It’s important to stay still and relaxed so the tracer distributes evenly. Personally, I find it a time just to completely try to relax, close your eyes and just listen to music. It’s important to be properly hydrated before the appointment and you will be asked to empty your bladder just before you go for the scan.
🌀 3. The scan itself
You lie on a narrow bed that slides slowly through the PET-CT scanner. The CT scan part first takes detailed X-ray images of your body’s internal anatomy. Then, the PET scan detects the radiation emitted by the tracer to show metabolic activity—how active different tissues are. The combined data gives a 3D image showing both what your organs look like and how they’re functioning. The scan, which will be a full body scan, normally takes upwards of 30 minutes and it’s best to try and stay as still as possible for the duration to ensure best possible results.
🧠 4. Image fusion and analysis
The computer combines the PET and CT images so doctors can see exactly where abnormal activity is happening. For example, a bright spot (high FDG uptake) on PET might correspond to a mass seen on CT—suggesting a tumour or inflammation. Radiologists and oncologists then review these images to assess:
- Whether cancer is present or has spread (staging) If treatment is working (response)
- If there’s recurrence (new areas of activity)
⚙️ 5. After the scan
You can usually go home the same day. The radioactive tracer leaves your body naturally through urine within 24 hours, so you’re advised to drink plenty of fluids.
Click here to see a short video of what happens during a PET CT Scan.
How the different scans differ.
|
Part |
How |
Results |
|
CT scan |
X-rays |
Detailed structure size,shape,location) |
|
PETscan |
Radioactive tracer |
Activity/metabolism of cells |
|
Combined PET-CT |
Fusion of both |
Accurate detection and localisation of disease |





